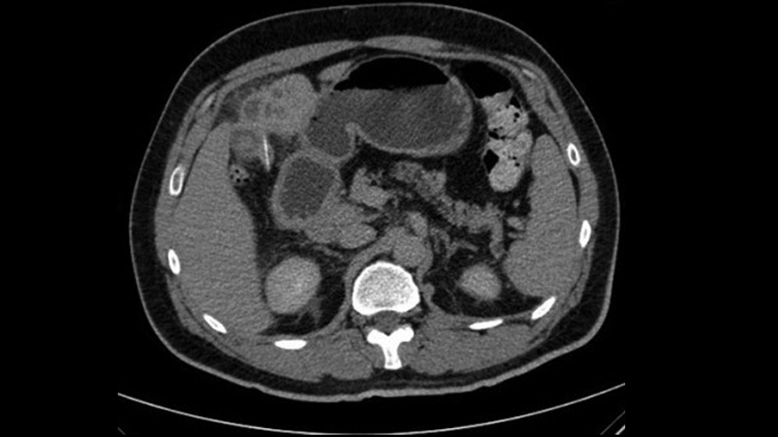
Diagnostic Dilemma A Fish Bone Wandered Through A Man S Abdomen And Stabbed His Liver
Updated 2026
Verified by Expert Team

Diagnostic Dilemma A Fish Bone Wandered Through A Man S Abdomen And Stabbed His Liver

Share

Executive Summary

Welcome to our deep dive into Diagnostic Dilemma A Fish Bone Wandered Through A Man S Abdomen And Stabbed His Liver. We've gathered 10 relevant articles and 8 images, along with 10 associated subjects to help you explore Diagnostic Dilemma A Fish Bone Wandered Through A Man S Abdomen And Stabbed His Liver thoroughly.

People searching for "Diagnostic Dilemma A Fish Bone Wandered Through A Man S Abdomen And Stabbed His Liver" are also interested in: Generate System Diagnostics Report in Windows 10, Change Diagnostic Data Settings in Windows 10, Run Windows Memory Diagnostics Tool in Windows 10, and more.

Visual Analysis

Data Feed: 8 Units
Diagnostic dilemma: A fish bone wandered through a man's abdomen and ...

Diagnostic dilemma: A fish bone wandered through a man's abdomen and ...

Bing
A Man Accidentally Swallowed a Fish Bone. It Tore a Hole Through His ...

A Man Accidentally Swallowed a Fish Bone. It Tore a Hole Through His ...

Bing
The unexpected finding: A fish bone mimicking a gastric tumour lesion ...

The unexpected finding: A fish bone mimicking a gastric tumour lesion ...

Bing
Fish bone perforation mimicking colon cancer: A case report

Fish bone perforation mimicking colon cancer: A case report

Bing
Fish bone perforation mimicking colon cancer: A case report

Fish bone perforation mimicking colon cancer: A case report

Bing
Fish bone perforation mimicking colon cancer: A case report

Fish bone perforation mimicking colon cancer: A case report

Bing
Fish bone perforation mimicking colon cancer: A case report

Fish bone perforation mimicking colon cancer: A case report

Bing
Fish bone perforation mimicking colon cancer: A case report

Fish bone perforation mimicking colon cancer: A case report

Bing

Intelligence Data

Generate System Diagnostics Report in Windows 10
Verified SourceSource: www.bing.com

Jun 14, 2021 · How to Generate System Diagnostics Report in Windows 10 A system diagnostics report is a part of Performance Monitor that details the status of local hardware resources, system response …

Change Diagnostic Data Settings in Windows 10 | Tutorials
Verified SourceSource: www.bing.com

Oct 6, 2020 · How to Change Diagnostic Data Settings in Windows 10 As you use Windows, we collect diagnostic information, and to make sure we're listening to you, our customer, we've also built ways for …

Run Windows Memory Diagnostics Tool in Windows 10 | Tutorials - Ten …
Verified SourceSource: www.bing.com

Sep 6, 2020 · How to Run Windows Memory Diagnostics Tool in Windows 10 Memory problems can cause your PC to lose information or stop working. Windows 10 includes the Windows Memory Diagnostics …

Consistent high CPU usage / svchost.exe Diagnostic Policy Service
Verified SourceSource: www.bing.com

Apr 19, 2018 · Consistent high CPU usage / svchost.exe Diagnostic Policy Service Hello, For a few days now my office desktop has been pretty much running non-stop a svchost.exe process which is linked to …

Use Microsoft Surface Diagnostic Toolkit in Windows 10
Verified SourceSource: www.bing.com

May 21, 2020 · The Microsoft Surface Diagnostic Toolkit tests verify only the hardware of a Surface device and do not test or resolve issues with the operating system or software. This tutorial will show you how …

Diagnostic Policy Service - high CPU - Windows 10 Forums
Verified SourceSource: www.bing.com

Apr 7, 2018 · Diagnostic Policy Service - high CPU HP laptop problem In the last few days, this laptop started having poor performance, with Task manager showing Diagnostic Policy Service taking up to …

Microsoft Surface Diagnostic Toolkit Surface - Windows 10 Forums
Verified SourceSource: www.bing.com

Apr 29, 2016 · The Microsoft Surface Diagnostic Toolkit is a small, portable diagnostic tool that runs through a suite of tests to diagnose the hardware of Surface devices. The Microsoft Surface Diagnostic …

How to Check Which Version of DirectX is Installed in Windows 10
Verified SourceSource: www.bing.com

Aug 28, 2020 · Here's How: 1 Press the Win + R keys to open Run, type dxdiag into Run, and click/tap on OK to open the DirectX Diagnostic Tool. The DxDiag tool (dxdiag) reports detailed information about …

"Cloud Files Diagnostic Event Listener" Error? - Ten Forums
Verified SourceSource: www.bing.com

Sep 5, 2019 · System Is Getting Slow And Going To Blue Screen Of Death With Event Viewer Error: Session "Cloud Files Diagnostic Event Listener" failed to start with the following error: 0xC0000022.

Read Memory Diagnostics Tool Results in Event Viewer in Windows 10
Verified SourceSource: www.bing.com

May 14, 2023 · How to Read Memory Diagnostics Tool Results in Event Viewer in Windows 10 Memory problems can cause your PC to lose information or stop working. Windows 10 includes the Windows …

Helpful Intelligence?

Our AI expert system uses your verification to refine future results for Diagnostic Dilemma A Fish Bone Wandered Through A Man S Abdomen And Stabbed His Liver.

Related Intelligence Nodes

Network Suggestions