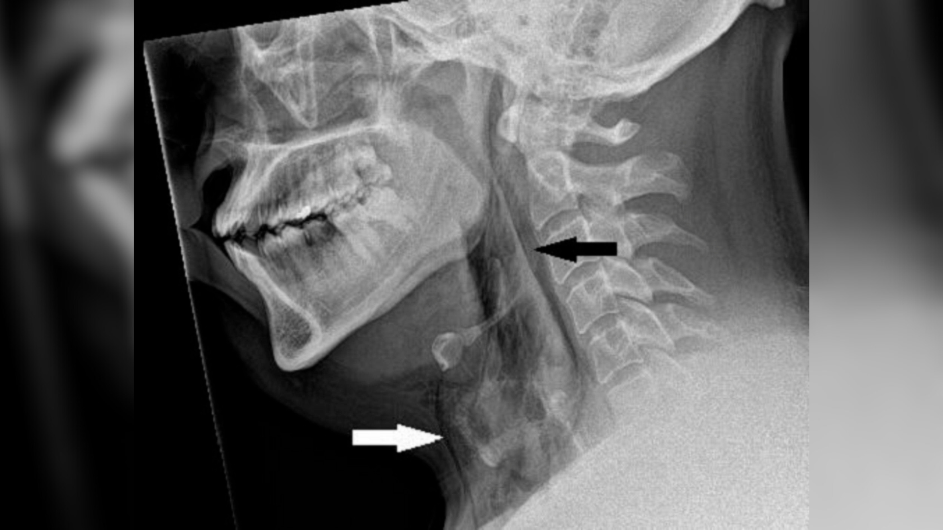
Diagnostic Dilemma A Man Held In A Sneeze And It Punctured His Windpipe
Updated 2026
Verified by Expert Team

Diagnostic Dilemma A Man Held In A Sneeze And It Punctured His Windpipe

Share

Executive Summary

Explore the multifaceted world of Diagnostic Dilemma A Man Held In A Sneeze And It Punctured His Windpipe. By synthesizing data from 10 web sources and 8 high-quality images, we provide a holistic look at Diagnostic Dilemma A Man Held In A Sneeze And It Punctured His Windpipe and its 10 related themes.

People searching for "Diagnostic Dilemma A Man Held In A Sneeze And It Punctured His Windpipe" are also interested in: Generate System Diagnostics Report in Windows 10, Change Diagnostic Data Settings in Windows 10, Consistent high CPU usage / svchost.exe Diagnostic Policy Service, and more.

Visual Analysis

Data Feed: 8 Units
Diagnostic dilemma: A man held in a sneeze — and it punctured his windpipe

Diagnostic dilemma: A man held in a sneeze — and it punctured his windpipe

Bing
Diagnostic dilemma: A man held in a sneeze — and it punctured his ...

Diagnostic dilemma: A man held in a sneeze — and it punctured his ...

Bing
This Man Held in a Sneeze—And Blew a Hole in His Windpipe

This Man Held in a Sneeze—And Blew a Hole in His Windpipe

Bing
Man Stifles Sneeze and Tears Windpipe in Rare Medical Case

Man Stifles Sneeze and Tears Windpipe in Rare Medical Case

Bing
Man Holds Sneeze, Tears Windpipe in First Case of Its Kind: Study

Man Holds Sneeze, Tears Windpipe in First Case of Its Kind: Study

Bing
Man Holds Sneeze, Tears Windpipe in First Case of Its Kind: Study

Man Holds Sneeze, Tears Windpipe in First Case of Its Kind: Study

Bing
Man Ruptures Windpipe By Holding In A Sneeze

Man Ruptures Windpipe By Holding In A Sneeze

Bing
Man Holds in Sneeze, Rips Open His Windpipe

Man Holds in Sneeze, Rips Open His Windpipe

Bing

Intelligence Data

Generate System Diagnostics Report in Windows 10
Verified SourceSource: www.bing.com

Jun 14, 2021 · How to Generate System Diagnostics Report in Windows 10 A system diagnostics report is a part of Performance Monitor that details the status of local hardware resources, …

Change Diagnostic Data Settings in Windows 10 | Tutorials
Verified SourceSource: www.bing.com

Oct 6, 2020 · How to Change Diagnostic Data Settings in Windows 10 As you use Windows, we collect diagnostic information, and to make sure we're listening to you, our customer, we've …

Consistent high CPU usage / svchost.exe Diagnostic Policy Service
Verified SourceSource: www.bing.com

Apr 19, 2018 · Consistent high CPU usage / svchost.exe Diagnostic Policy Service Hello, For a few days now my office desktop has been pretty much running non-stop a svchost.exe …

Run Windows Memory Diagnostics Tool in Windows 10 | Tutorials …
Verified SourceSource: www.bing.com

Sep 6, 2020 · How to Run Windows Memory Diagnostics Tool in Windows 10 Memory problems can cause your PC to lose information or stop working. Windows 10 includes the Windows …

Use Microsoft Surface Diagnostic Toolkit in Windows 10
Verified SourceSource: www.bing.com

May 21, 2020 · The Microsoft Surface Diagnostic Toolkit tests verify only the hardware of a Surface device and do not test or resolve issues with the operating system or software. This …

Diagnostic Policy Service - high CPU - Windows 10 Forums
Verified SourceSource: www.bing.com

Apr 7, 2018 · Diagnostic Policy Service - high CPU HP laptop problem In the last few days, this laptop started having poor performance, with Task manager showing Diagnostic Policy …

Read Memory Diagnostics Tool Results in Event Viewer in …
Verified SourceSource: www.bing.com

May 14, 2023 · How to Read Memory Diagnostics Tool Results in Event Viewer in Windows 10 Memory problems can cause your PC to lose information or stop working. Windows 10 …

How to Check Which Version of DirectX is Installed in Windows 10
Verified SourceSource: www.bing.com

Aug 28, 2020 · Here's How: 1 Press the Win + R keys to open Run, type dxdiag into Run, and click/tap on OK to open the DirectX Diagnostic Tool. The DxDiag tool (dxdiag) reports detailed …

Microsoft Surface Diagnostic Toolkit Surface - Windows 10 Forums
Verified SourceSource: www.bing.com

Apr 29, 2016 · The Microsoft Surface Diagnostic Toolkit is a small, portable diagnostic tool that runs through a suite of tests to diagnose the hardware of Surface devices. The Microsoft …

"Cloud Files Diagnostic Event Listener" Error? - Ten Forums
Verified SourceSource: www.bing.com

Sep 5, 2019 · System Is Getting Slow And Going To Blue Screen Of Death With Event Viewer Error: Session "Cloud Files Diagnostic Event Listener" failed to start with the following error: …

Helpful Intelligence?

Our AI expert system uses your verification to refine future results for Diagnostic Dilemma A Man Held In A Sneeze And It Punctured His Windpipe.

Related Intelligence Nodes

Network Suggestions